- 1 : 2025/02/23 16:47:10 ???
-
「アルツハイマー認知症はヘルペスウイルスが原因」「予防には帯状疱疹ワクチンが有効」。疫学調査の結果を基にそんな説を研究しているのは東京都老人医療センター元副院長の松下哲氏。
それはわれわれへの福音となるのか。ノンフィクション作家・奥野修司氏のレポート。
「アルツハイマー認知症(アルツハイマー病)はヘルペスウイルスによる感染症の一種であるという考え方は1980年代からありましたが、最近ではこの説を支持する論文がたくさん出ています。やがてアルツハイマー病はワクチンで予防できるようになるかもしれません」
こう言うのは東京都老人医療センター(現東京都健康長寿医療センター)元副院長の松下哲氏(88)である。
松下氏は昨年、『アルツハイマー認知症は抗ウイルス薬と帯状疱疹ワクチンで予防できる』(三省堂書店/創英社)という本を出版した。
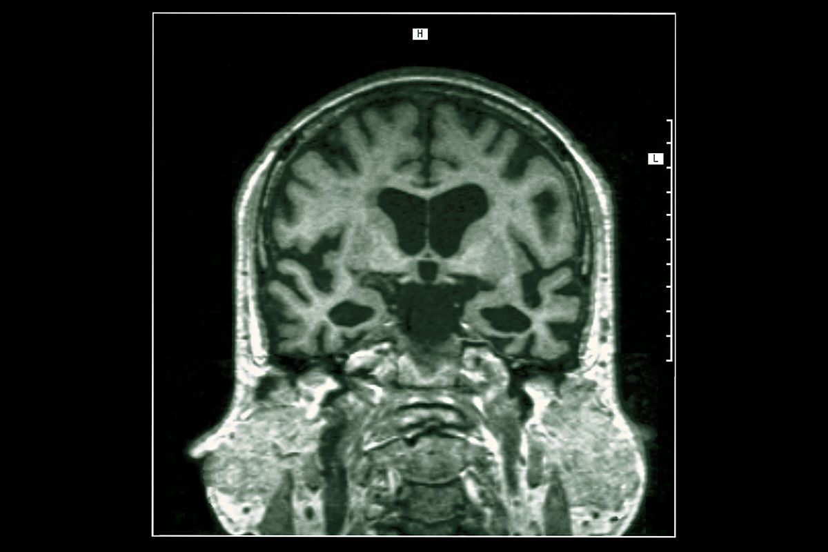
一般的にアルツハイマー病はアミロイドβというたんぱく質によって引き起こされるといわれているが、同書はそうでなく、多数の疫学研究(病気などに関して人間の集団を対象にした調査・分析)論文を紹介しながら、多くの人が感染するヘルペスウイルスが原因だと指摘している。
それによると、単純ヘルペスウイルス(HSV。口の周りや性器などに水疱を発生させる)などが長期の潜伏期を経て現われ、脳内で炎症を起こした結果がアルツハイマー認知症なのだそうだ。
松下氏は、定年後に関わった特別養護老人ホームで多くの認知症の人と接したことからヘルペスウイルス原因説について調べ始めたのだという。
もしもアルツハイマー認知症がヘルペスウイルスによって発症するなら、すでにウイルスの増殖を抑える薬やワクチンもあるのだから期待ができる。そのうえワクチンは、今年の4月から予防接種法に基づく定期接種になる予定で、費用負担も軽減されるはずだ。
そこで、抗ウイルス薬による認知症予防の研究は現時点でどこまで進んでいるのか、松下氏に尋ねた。
現在、アルツハイマー認知症の原因はアミロイドβ、というのはほぼ常識になっているが、これは1980年代にアルツハイマー認知症の病変といわれた脳内の老人斑がアミロイドβで構成されていることが分かり、90年代になって「アミロイドカスケード仮説」として広く支持されてきたからだ。
実は、同時期にカナダの神経病理学者が、人に感染したヘルペスウイルスが記憶に関わる大脳辺縁系に侵入・感染して炎症を起こしていたことから、アルツハイマー病は単純ヘルペスウイルスによる感染症が原因であるという仮説を唱えたのだが、残念ながらこちらはあまり注目されなかった。
それでも一部の専門家には説得力があったらしく、各国で研究が続けられていた。それが今世紀にはいってブレークスルーになる研究が次々と発表されたのだ。松下氏はその一つを紹介してくれた。
「2016年にドイツの神経病理学者ブラーク夫妻らは、ドイツの大学病院でアルツハイマー認知症の脳の病理解剖2332例を調べました。驚くべきその内容は、(アルツハイマー病を)発症する前からアミロイドβよりも先に、変異したタウというたんぱく質が蓄積し始め、その最終段階でアルツハイマー認知症が発症するという事実でした。つまり、アルツハイマー認知症が発症するのは、アミロイドβが原因ではなく、変異したタウの蓄積の結果なのです。さらに症状の進行も、変異タウの蓄積と比例していたのです」
「2021年から23年にかけて英国や米国の施設など4カ所で帯状疱疹ワクチンを接種した群と接種しなかった群を追跡調査しています。接種したのは、高齢者が帯状疱疹を発症すると神経痛の後遺症が残ってひどくなるからです。結果は、接種した方はアルツハイマー認知症の発症が有意に少なくなっていました。ただ接種年齢が高かったせいか、結果は貧弱(ハザード比が0.65〜0.91)でした」
ハザード比が0.65なら決して「貧弱」とは思えないのだが……。
これらのデータを背景に、ワクチンを接種するならアルツハイマーを発症する前の50歳代がいいと松下氏は言う。
「アルツハイマーを発症する前ならワクチンは効果的ですが、発症してからではワクチンの効果は弱いのです。発症後はやはり抗ウイルス薬でウイルスの増殖を抑えることです」
Yahoo!ニュースYahoo!ニュースは、新聞・通信社が配信するニュースのほか、映像、雑誌や個人の書き手が執筆する記事など多種多様なニュースを掲載しています。news.yahoo.co.jp - 3 : 2025/02/23 16:53:37 6hMip
- でも帯状疱疹ワクチンは有効だから
接種した方がいい
帯状疱疹やった事あるけど激痛
接種して防ぐ方が得策 - 4 : 2025/02/23 17:04:09 xe9dr
- とりあえず ワクチンは一通り 摂取しておいた方がいいよ
- 5 : 2025/02/23 17:04:11 BwbXq
- ワクチンビジネス
また、政治屋ならぬ利権屋か? - 6 : 2025/02/23 17:04:23 e2VV9
- ワク信はまた打たされるのか
- 8 : 2025/02/23 17:09:11 UuGKW
- 帯状疱疹ワクチンでアルツハイマー予防とか
また無茶振り言ってきたなw
ワク信は何度でも騙される
- 9 : 2025/02/23 17:11:01 SLEMx
- あ、帯状疱疹ワクチン余ってるのね
ステマかよ - 12 : 2025/02/23 17:19:08 7TCCQ
- 帯状疱疹ワクチンのアルツハイマー改善機能については昔から言われててたくさん論文も出てほぼ確定、しかもリスクも低いので、mRNAコロナワクチンの不確実性と一緒に考えるのは愚か
- 45 : 2025/02/23 18:17:52 0Zoar
- >>12
信じるものは人それぞれ
判断もそれぞれだ
ただし、他人のぢゃまをするなといいたい
たとえそれが自分の信念だとしても
やるなら彼の人生も背負っていけ - 13 : 2025/02/23 17:24:23 ewvSc
- アミロイドβというたんぱく質が原因じゃない?
ウィルスがどうやって発症させるか
メカニズムが説明なしかよ - 21 : 2025/02/23 17:39:11 7TCCQ
- >>13
単純ヘルペスウイルス1型(口唇ヘルペスなどの一般的な感染症)が、神経へ潜伏している状態で水痘帯状疱疹ウイルスと接触することにより再活性化し、アルツハイマー病の原因といわれる「タウタンパク質」や「アミロイドベータ」が劇的に増える事は解明されてるので、あとはそれをどう阻害するかなのよねヘルペス1型は大半の人がキャリアなので、あとは帯状疱疹の方をなるべく早く防ぎたいところ
- 14 : 2025/02/23 17:26:45 rHXZH
- アルツハイマーはニコチンがいいんじゃなかったけ?
- 16 : 2025/02/23 17:27:39 dTWK5
- >>14
パーキンソンやな - 15 : 2025/02/23 17:27:21 dTWK5
- 脳に直接作用する新薬は使う方も負担なんでワクチンで防げるんならありがたいかな(´・ω・`)ネトウヨはアルミホイルでも被ってろ
- 18 : 2025/02/23 17:30:54 z7iSO
- ノーベル賞ものだ学会で発表してよ
- 19 : 2025/02/23 17:35:23 dTWK5
- 反ワクもアルミホイルの効用を学会発表出来るくらいなら信じる人も増えるのにな(´・ω・`)ウヨ業界はまともな学者が少ない
- 20 : 2025/02/23 17:36:03 X63gO
- クソみたいな国だな
- 22 : 2025/02/23 17:40:25 HtsKv
- この副院長が実験台で射てばいいし
毎月射ってそれを最低でも3年間は続けてください
人にオススメするものは自分が体験してないといけないよ - 23 : 2025/02/23 17:44:13 HN32p
- >>22
毎月打つってなんだよw
バカってすぐ極論に逃げるよな - 25 : 2025/02/23 17:46:57 rxbpe
- >>22
帯状疱疹ワクチンは生ワクチンだと1回、不活性ワクチンだと2ヶ月間を空けて2回接種で概ね20〜30年効果があります - 31 : 2025/02/23 17:58:40 FXjKC
- >>25
シングリックスを不活化ワクチンに分類するのは抵抗あるわ
遺伝子組み換えワクチンだろうに
コロナ以降評判悪いのか不活化ワクチンと表記するケース多いな - 24 : 2025/02/23 17:44:56 eZIvL
- 毒だから気をつけて
- 26 : 2025/02/23 17:48:03 df0v7
- もう打つなくだらない生ゴミを
- 28 : 2025/02/23 17:52:23 sp9G2
- それだけが原因の訳ないだろ
- 29 : 2025/02/23 17:52:27 7Mf7g
- みんな打つと不足するから反ワクは打たなくていいんだろ
- 30 : 2025/02/23 17:57:04 nL6S2
- 狐憑きの予防にもワクチン打てとか言いそうだよな。
- 32 : 2025/02/23 18:03:28 uubhZ
- オレ この本読んだ
帯状疱疹ワクチンではなくて
アシクロビル錠剤を服用すれば是確か台湾の保健省だったかな 長期追跡調査して 同剤のんだ人 ボケにくかったはず マジで
- 35 : 2025/02/23 18:06:36 3J9Wz
- 少女輪姦殺人
エプスタイン
ロリータエクスプレス - 36 : 2025/02/23 18:06:59 uubhZ
- 昨今の新薬なんて クソ
アシクロビルのめ!
でもアシクロビル安い古いクスリだから
製薬マフィアと厚労省は ダンマリ - 37 : 2025/02/23 18:08:39 mwWWZ
- じゃあ早く補助してくれよタダになったら受けるわ
口唇ヘルペス痛い - 41 : 2025/02/23 18:12:03 FXjKC
- >>37
50歳以上は自治体で補助してるところ多いよ
全額だったり半額だったり違うけど - 38 : 2025/02/23 18:09:41 uubhZ
- 疫学的証拠
では、アルツハイマー認知症にスノウが見出したような疫学的知見はあるのでしょうか。それは人口の99.9%が国民健康保険に加入している台湾で観察されました。同国では2004年にカルテを電子化し、病歴を健康保険証のICチップに入れ、疫学調査を確実に、そしてし易くしました。
2018年、台湾のツェングらは、単純ヘルペスウイルスHSV感染症がアルツハイマー認知症を起こし、抗ウイルス薬で治療しておくと発症が予防できるという「決定的な報告」を発表しました(1)。
それは50歳以上の健康保険加入者33,488人の11年間の追跡調査です。非感染者25,086人にくらべ、新たなヘルペス感染者(PCRないし免疫グロブリンIgM陽性によって確認された)がアルツハイマー認知症を発症するリスクは、非感染者に比べて、ハザード比にして2.74倍になるというものでした。
ヘルペスウイルス感染後、抗ウイルス薬を投与されなかった1,147人(13.7%)と投与された7,215人(86.3%)の比較では、抗ウイルス薬を投与されていると、アルツハイマー病が大部分を占める(脳血管性認知症をも含む)認知症になるリスクは10分の1以下に減りました。この場合アルツハイマー認知症に限れば、ほぼ完全に予防されていると推測できます。 - 39 : 2025/02/23 18:10:48 1kCgE
- 反ワクはすでにボケてるから手遅れか
- 40 : 2025/02/23 18:11:14 XGns0
- 抱き合わせ感出てきた
- 42 : 2025/02/23 18:12:27 3g33d
- 無理やりワクチン
- 46 : 2025/02/23 18:20:06 YgFlq
- 新たな金づるを生み出す
- 47 : 2025/02/23 18:21:26 Vqdnj
- ヘルペス移るから近寄りたくない
- 48 : 2025/02/23 18:31:45 The0F
- 太宰治は、忘却は救いだって言ってたわよ
- 49 : 2025/02/23 18:33:19 tNAtE
- 反ワクさん・・・ mRNAワクチンだけが問題でなかったの?
【ワクチンを接種するなら50歳代】東京都老人医療センター元副院長の松下哲氏 「アルツハイマー認知症はヘルペスウイルスが原因、予防には帯状疱疹ワクチンが有効」
talkニュー速+


コメント